
İsmayıl Rəhimov İkinci Qarabağ müharibəsində Talışkənd, Suqovuşan istiqamətində gedən döyüşlərdə iştirak edib. O, oktyabrın 1-də Suqovuşan uğurunda döyüşlərdə yanında partlayan artilleriya mərmisindən sol qolundan və ayağından qəlpə yaraları alıb və ordudan təxris edilib. Yaralandıqdan sonra onu ilk olaraq Naftalana, oradan Gəncəyə, daha sonra isə vertalyotla Bakıya – Mərkəzi Hərbi Klinik Hospitala gətiriblər.
Hospitalda Mərkəzi Hərbi Həkim Komissiyasının qərarına əsasən İsmayıl Rəhimova “Partlayış travması, keçirilmiş sol dirsək sinirinin postravmatikk neyropatiyasının sol əlin finksiyasının cüzi dərəcədə pozulması ilə nəticələnmiş qalıq əlaməti, sol saidin aşağı 1/3-nin ön səthinin kor qəlpə yaralanmasından sonrakı bərkimiş dəri çapıqları” diaqnozu qoyulub.
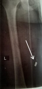
Şikayətçinin sözlərinə görə, onun sənədlərini TƏBİB-ə göndəriblər, oradan isə deyilib ki, müalicəyə ehtiyacı var. İ. Rəhimov isə iddia edir ki, onun müalicəyə ehtiyacı yoxdur. Sol əlində iki barmağının fəaliyyəti tamam dayanıb, bir barmağı əsir, ayağında isə qəlpə var.
“Sənədlərimi yazıb göndərdim Mərkəzi Hərbi Klinik Hospitala. Hospitalda baxılıb deyildi ki, barmaqları əməliyyat etsək də, fəaliyyəti bərpa olunmayacaq. Ondan sonra müalicələr dayandı, əməliyyat olunmadı. Ayağımda olan qəlpəni də çıxarmırlar, deyirlər ki, çıxarsaq ola bilər ayaq fəaliyyətini itirər. Yeriyəndə həm ağrıyır, həm də axsayıram. İndi əlillik dərəcəsi almaq istəyirəm, amma heç kim bir söz demir”.
İ. Rəhimov Göyçay rayon Tibbi-Sosial Ekspert Komissiyasında da olub. TSEK-dən bildiriblər ki, həqiqətən qol sinirində problem var. Amma əlillik dərəcəsinin təyin edilməsi üçün Mərkəzi Hərbi Klinik Hospital yetərli arayış-ekipiriz verməyib.
“Gözətçi” olaraq məsələ ilə Mərkəzi Hərbi Klinik Hospitala sorğu göndərilib.
